NEWS

EMERGE project successfully completed: MR-compatible ECG demonstrator developed for haemodynamic monitoring

An interdisciplinary team led by Otto von Guericke University Magdeburg has successfully completed the ‘EMERGE’ research project at the Research Campus STIMULATE. In collaboration with the Mammendorfer Institut für Physik und Medizin GmbH (MIPM) and the Department of Cardiology and Angiology at Magdeburg University Hospital, an innovative 12-channel ECG demonstrator was developed that can be used in magnetic resonance imaging (MRI) to monitor heart function and haemodynamic parameters. The project was funded by the German Federal Ministry of Education and Research (BMBF).

As part of the project, a comprehensive study was conducted with 20 healthy test subjects in which electrocardiogram (ECG) data inside the MRI scanner as well as impedance cardiogram (ICG) data and echocardiogram data outside the MRI scanner were recorded simultaneously. The resulting signal database is unique and includes data at rest and under mild stress. The analysis of this data showed that characteristic cardiac time points such as the pre-ejection time (PEP) and the left ventricular ejection time (LVET) can be reliably derived from the magnetohydrodynamic (MHD) effect of the ECG signal.

The results of the EMERGE project form an important basis for further studies, in particular for the application of the demonstrator in patients with cardiac diseases. In the long term, this technology could offer new possibilities for cardiac monitoring in interventional MRI and improve cardiovascular diagnostics in the long term.

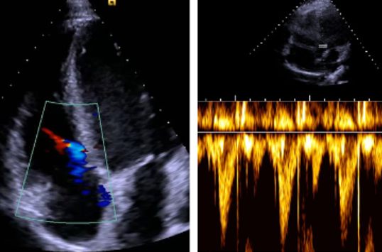
Figures: (1) ECG and ECG hardware, (2) specially developed ECG electrode, (3) echocardiogram of a test subject as a Doppler sonogram and (4) as a 3D data set.

Abbildungen: (1) IKG- und EKG-Hardware, (2) speziell entwickelte IKG-Elektrode, (3) Echokardiogramm eines Probanden als Doppler-Fonogramm und (4) als 3D-Datensatz.

EMERGE-Projekt erfolgreich abgeschlossen: MR-kompatibler EKG-Demonstrator zur hämodynamischen Überwachung entwickelt

Ein interdisziplinäres Team unter der Leitung der Otto-von-Guericke-Universität Magdeburg hat am Forschungscampus STIMULATE das Forschungsprojekt „EMERGE“ erfolgreich abgeschlossen. In Zusammenarbeit mit dem Mammendorfer Institut für Physik und Medizin GmbH (MIPM) und der Klinik für Kardiologie und Angiologie des Universitätsklinikums Magdeburg wurde ein innovativer 12-Kanal-EKG-Demonstrator entwickelt, der im Magnetresonanztomographen (MRT) zur Überwachung von Herzfunktionen und hämodynamischen Parametern eingesetzt werden kann. Das Projekt wurde durch das Bundesministerium für Bildung und Forschung (BMBF) gefördert.

Im Rahmen des Projekts wurde eine umfassende Studie mit 20 gesunden Proband:innen durchgeführt, bei der Elektrokardiogramm-Daten (EKG) innerhalb des MRT sowie Impedanz-Kardiogramm-Daten (IKG) und Echokardiogramm-Daten außerhalb des MRT simultan aufgezeichnet wurden. Die so entstandene Signaldatenbank ist einzigartig und umfasst Daten in Ruhe und unter leichter Belastung. Die Analyse dieser Daten zeigte, dass charakteristische Herzzeitpunkte wie die Prä-Ejektionszeit (PEP) und die linksventrikuläre Ejektionszeit (LVET) zuverlässig aus dem Magnetohydrodynamik-Effekt (MHD) des EKG-Signals abgeleitet werden können.

Die Ergebnisse des EMERGE-Projekts bilden eine wichtige Grundlage für weiterführende Studien, insbesondere zur Anwendung des Demonstrators bei Patient:innen mit kardialen Erkrankungen. Langfristig könnte diese Technologie neue Möglichkeiten für die Herzüberwachung im interventionellen MRT bieten und die kardiovaskuläre Diagnostik nachhaltig verbessern.